Υπερηχογράφημα βρεφικού ισχίου

Share:

Υπερηχογραφικός - Ακτινολογικός έλεγχος του νεογνικού δυσπλαστικού ισχύου

Ορισμένα νεογνά, στην διάρκεια των πρώτων ημερών της ζωής, εμφανίζουν θετικό σημείο αναπτυξιακής δυσπλασίας του ισχίου , η πλειονότητα των οποίων καθίσταται αρνητική στις πρώτες 2 – 3 εβδομάδες της ζωής, χωρίς να υπάρχει παθολογικό εύρημα. Οφείλεται στην γενικευμένη χαλαρότητα, χρειάζεται όμως κλινική και υπερηχογραφική παρακολούθηση.

Η πρώτη αντικειμενική καταγραφή του νεογνικού – βρεφικού ισχίου γίνεται με τον υπερηχογραφικό έλεγχο, που αποτελεί εξέταση εκλογής στην διερεύνηση του  ισχίου.

Υπερηχογράφημα βρεφικού ισχίου
Ακτινολογική εικόνα εξαρθρήματος αριστερού ισχίου

Ο υπερηχογραφικός έλεγχος αποτελεί την ασφαλέστερη μέθοδο για την αντικειμενική καταγραφή της παθολογίας του βρεφικού ισχίου, ιδίως πριν την εμφάνιση των πυρήνων οστέωσης. Αποφεύγουμε την άσκοπη ακτινολογική εξέταση φυσιολογικών βρεφών.

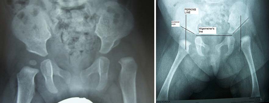
Στον ακτινολογικό έλεγχο ελέγχουμε την συμμετρία των λαγονίων και των θυρεοειδικών τρημάτων.  Η διάγνωση της δυσπλασίας είναι ευχερής όταν έχουν εμφανισθεί οι πυρήνες οστέωσης.

Η αξονική και η μαγνητική τομογραφία παρέχουν πληροφορίες για την διαμόρφωση του ισχίου, χρησιμοποιούνται κυρίως για έλεγχο της ακριβούς ανάταξης του ισχίου σε hip spica.

Υπερηχογράφημα βρεφικού ισχίου
Εικόνα Ακτινολογικός έλεγχος αμφοτερόπλευρου εξαρθρήματος ισχίου

Αναλυτικά:

Υπερηχογράφημα νεογνικού ισχίου

Το υπερηχογράφημα παρέχει ακριβείς πληροφορίες για όλα τα στοιχεία του ισχίου και αποτελεί αναμφισβήτητα την ασφαλέστερη μέθοδο για την αντικειμενική καταγραφή της παθολογίας του βρεφικού ισχίου, ιδίως πριν την εμφάνιση των πυρήνων οστέωσης. Με την εξέταση αυτή, αποφεύγεται η άσκοπη ακτινολογική εξέταση φυσιολογικών βρεφών.

Η ηλικία των 6 έως 8 εβδομάδων μετά την γέννηση, αποτελεί την πλέον αξιόπιστη περίοδο για την ακριβή εξέταση.  Στην άμεση νεογνική περίοδο, η αυξημένη αναλογία χόνδρου, η χαλαρότητα, δυνατόν να οδηγήσουν σε λανθασμένη διάγνωση συνήθως τύπου 2 και αντίστοιχα υπερθεραπεία φυσιολογικών ισχίων.

Ακτινολογικός έλεγχος νεογνικού ισχίου

Η διάγνωση της δυσπλασίας του ισχίου μετά από τον κλινικό και υπερηχογραφικό έλεγχο, καλό είναι να καταγράφεται και με ακτινολογική εξέταση. 

Η ακτινολογική εξέταση στην νηπιακή και παιδική ηλικία αξιολογεί ποικιλία παραμέτρων. Μετράται η κοτυλιαία γωνία, το ποσοστό κάλυψης της κεφαλής, η γωνία CE (η γωνία που σχηματίζεται από την κάθετο που περνά από το κέντρο της κεφαλής και την ευθεία του σχηματίζεται από την ένωση του κέντρου της κεφαλής με το άνω έξω χείλος της κοτύλης), δείκτες που χρησιμοποιούνται κυρίως στην αξιολόγηση της θεραπευτικής αντιμετώπισης του δυσπλασικού ισχίου. ( ταξινόμηση κατά Severin).

 Η αξονική και η μαγνητική τομογραφία παρέχουν πληροφορίες για την διαμόρφωση του ισχίου, χρησιμοποιούνται κυρίως για έλεγχο της ακριβούς ανάταξης του ισχίου σε hip spica.

Έχει μεγάλη σημασία, όπως και στο υπερηχογράφημα, έτσι και στον ακτινολογικό έλεγχο να γίνεται η σωστή τοποθέτηση και ακινητοποίηση του βρέφους, ώστε να αποφεύγεται η κλίση της πυέλου, που οδηγεί σε λανθασμένα συμπεράσματα.

Αρθρογράφημα νεογνικού ισχίου

Το αρθρογράφημα αποτελεί ιδιαίτερα αξιόπιστη καταγραφή στην θεραπευτική αντιμετώπιση του δυσπλασικού ισχίου. Με τον ακτινοσκοπικό έλεγχο γίνεται έγχυση μικρής ποσότητος ακτινοσκιερού υγρού, οπότε απεικονίζεται η άρθρωση του ισχίου.

Στο δυσπλασικό ισχίο, το σκιαστικό λιμνάζει την περιοχή του ινολιπώδους τμήματος της κοτύλης, διαγράφεται η εκτός της κοτύλης θέση της κεφαλής, η παθολογική εικόνα του επιχειλίου χόνδρου. Δυνατόν να καταγραφεί η εν είδη κλεψύδρας εικόνα του θυλάκου, το εντύπωμα από την πίεση του ψοίτη.

Απεικονίζουμε την ανάταξη του ισχίου, με τους χειρισμούς ανάταξης, ελέγχοντας την θέση της αναταγμένης κεφαλής και την κάλυψη από το οστικό και χόνδρινο τμήμα της κοτύλης.