Οστεοχονδρίτιδα μηριαίας κεφαλής – Νόσος Parthes

Η οστεοχονδρίτιδα της μηριαίας κεφαλής (Νόσος Parthes) είναι παροδική ισχαιμική βλάβη της άνω μηριαίας επίφυσης.

Αρχίζει με ισχαιμία της επίφυσης που σταδιακά οδηγεί σε νέκρωση της επίφυσης, καθίζηση και κατακερματισμό της κεφαλής. Ακολουθεί η σταδιακή επαναιμάτωση και ο ανασχηματισμός με την οστεοποίηση της επίφυσης.

Η πάθηση επηρεάζει την ανάπτυξη της επιφυσιακής πλάκας του ισχίου και οδηγεί σε παραμόρφωση της κεφαλής. Διαρκεί 3-4 χρόνια και εμφανίζεται σε ηλικία 4-8 ετών. Αφορά συνήθως αγόρια, με σχετικά χαμηλό ύψος, με μικρό μήκος πέλματος. Δυνατόν να έχει αμφοτερόπλευρη προσβολή, σε ποσοστό 20% των πασχόντων, συνήθως με διαφορά 2 ετών στην προσβολή της άλλης άρθρωσης.

Συμπτώματα οστεοχονδρίτιδας μηριαίας κεφαλής (Parthes)

Χαρακτηρίζεται από εμφάνιση χωλότητας, που σταδιακά αυξάνεται, ανώδυνης αρχικά,  που εμφανίζεται στο τέλος των δραστηριοτήτων. Εμφανίζεται σταδιακά χωρίς οξεία θορυβώδη συμπτώματα. Τα συμπτώματα υποχωρούν παροδικά με ανάπαυση, αλλά γρήγορα επανέρχονται και συνοδεύονται από πόνο. Ο πόνος μπορεί να εκτείνεται στο έσω τμήμα του μηρού έως στο σύστοιχο γόνατο.

 Στην κλινική εξέταση υπάρχει περιορισμός της κίνησης των ισχίων, ιδίως απαγωγής και έσω στροφής του πάσχοντος ισχίου.

Ακτινολογική εξέταση

Ελάττωση του ύψους της επίφυσης, εμφάνιση υποχόνδριου κατάγματος, αύξηση της πυκνότητος της επίφυσης λόγω της καθίζησης του οστού και αύξησης της ανόργανης ουσίας ( το νεκρό οστό καθιζάνει και φαίνεται οστεοπυκνωτικό στην ακτινολογική εξέταση).  Σταδιακά οδηγείται η κεφαλή σε κατακερματισμό, στο στάδιο της νέκρωσης.

Η διατήρηση του ύψους του έξω στίχου της επίφυσης, είναι καλός προγνωστικός δείκτης εξέλιξης της νόσου.( Ταξινόμηση Herring)

Τελικά ανάλογα με την εξέλιξη της νόσου, είναι δυνατόν η κεφαλή να αποπλατυνθεί και να παρουσιάζει υπεξάρθρημα, ( κεφαλή σαν μανιτάρι, με βραχύ αποπεπλατυσμένο αυχένα)

Οστεοχονδρίτιδα μηριαίας κεφαλής - Νόσος Parthes
Εικόνα ακτινολογική απεικόνιση αρχόμενης οστεοχονδρίτιδος ισχίου αριστερά, με ελάττωση ύψους της επίφυσης και γραμμή υποχονδρίου κατάγματος

Προγνωστικοί παράγοντες για την εξέλιξη της νόσου είναι:

  1. Η ηλικία έναρξης της νόσου, που είναι ο βασικότερος παράγοντας για την καλύτερη αποκατάσταση. Όσο μικρότερη η ηλικία ( 3-6 έτη) τόσο καλύτερη πρόγνωση.  Σε προσβολή άνω των 8 ετών τα αποτελέσματα είναι πτωχά.
  2. Η έκταση της βλάβης, η ταξινόμηση κατά Herring, το φύλο (πτωχότερη σε κορίτσια) αποτελούν παράγοντες που επηρεάζουν το αποτέλεσμα.
  3. Η διατήρηση καλής κινητικότητος ιδίως σε απαγωγή της πάσχουσας πλευράς επιτυγχάνει καλύτερο τελικό αποτέλεσμα.
Οστεοχονδρίτιδα μηριαίας κεφαλής - Νόσος Parthes
Εικόνα Οστεοχονδρίτιδα δεξιάς μηριαίας επίφυσης, στο στάδιο κατακερματισμού

Σε αμφοτερόπλευρη προσβολή γίνεται διαφορική διάγνωση από  παθήσεις του θυροειδούς (εύρημα σε υποθυροειδισμό), από τις αιμοσφαιρινοπάθειες και τις επιφυσιακές δυσπλασίες.

Θεραπεία

Δεν υπάρχει σαφής θεραπευτικός κανόνας, ο στόχος είναι η διατήρηση της κεφαλής εντός της κοτύλης, όπου έχει τις περισσότερες πιθανότητες με τον ανασχηματισμό να αποκατασταθεί το σφαιρικό τμήμα της κεφαλής.

Σε μικρές ηλικίες αποφορτίζουμε το πάσχον ισχίο, σε μεγαλύτερες ηλικίες και κυρίως σε εμφάνιση υπεξαρθρήματος αντιμετωπίζεται χειρουργικά με οστεοτομίες στροφής και ραιβότητος του μηρού ή με κάλυψη της κεφαλής με περικοτυλικές οστεοτομίες.

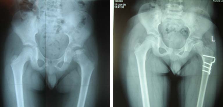
Οστεοχονδρίτιδα μηριαίας κεφαλής - Νόσος Parthes
Εικόνα Οστεοχονδρίτιδα της αριστεράς μηριαίας επίφυσης, με στοιχεία κεφαλής σε κίνδυνο. Αντιμετώπιση με οστεοτομία ραιβότητος και βελτίωση του σχήματος της μηριαίας κεφαλής.