Οστεοπόρωση

Οστεοπόρωση στην παιδική ηλικία

Η παιδική ηλικία χαρακτηρίζεται από την ανάπτυξη του μυοσκελετικού συστήματος.

Ο σχηματισμός των οστών ακολουθεί την ενδοχόνδρινη οστεοποίηση, με την δημιουργία του οργανικού υποστρώματος από την επιφυσιακή πλάκα και την εναπόθεση των ανόργανων στοιχείων για τον σχηματισμό του οστού.

Ελαττωμένη οστική πυκνότητα στην παιδική ηλικία εμφανίζεται με την μορφή της οστεοπενίας ή της οστεοπόρωσης.

Η διαταραχή της εναπόθεσης ανόργανων στοιχείων είναι η ραχίτιδα της παιδικής ηλικίας, συνήθως σήμερα νεφρικής αιτιολογίας, που δημιουργεί μεγάλη οστεοπενία, διεύρυνση της επιφυσιακής πλάκας και αντίστοιχα τις παραμορφώσεις της ραχίτιδος.

Η οστεοπόρωση στην παιδική ηλικία είναι ελαττωμένη ποσότητα φυσιολογικού οστού. Η πάθηση εκδηλώνεται με ποικιλία κλινικών στοιχείων. Δυνατόν να είναι γενικευμένη ή εντοπισμένη.

Κύριες παθήσεις που προκαλούν παιδική οστεοπόρωση

Η γενικευμένη οστεοπόρωση στην παιδική ηλικία είναι χαρακτηριστικό της ατελούς οστεογένεσης. Είναι μια γενετική διαταραχή που χαρακτηρίζεται από πολλαπλά κατάγματα του σκελετού, που συμβαίνουν με μικρή βία.

Τα συνεχή κατάγματα οδηγούν σε μεγάλες παραμορφώσεις τα άκρα, που λαμβάνουν σχήμα καμπύλης.

Η γενικευμένη οστεοπόρωση στην παιδική ηλικία εμφανίζεται δευτεροπαθώς σε πάσχοντες από νευρομυικές παθήσεις.

Στην εγκεφαλική παράλυση, ιδίως σε βαριά τετραπληγική προσβολή, με ελαττωμένη κινητικότητα, παιδιά με μόνιμη θέση στην αναπηρική καρέκλα, η οστεοπόρωση αποτελεί ένα ακόμη παράγοντα στα πολλαπλά προβλήματα που αντιμετωπίζουν.

Το πρόβλημα της οστεοπόρωσης επιτείνεται στην ομάδα των παιδιών που λαμβάνουν αντιεπιληπτικά φάρμακα, σύνηθες στην τετραπληγική προσβολή.

Η παρουσία της οστεοπόρωσης λαμβάνεται υπόψιν του ορθοπαιδικού χειρουργού, όταν πραγματοποιεί οστεοτομίες σε μακρά οστά και χρήση υλικών οστεοσύνθεσης.

Η εμφάνιση καταγμάτων μετά την περίοδο της ακινητοποίησης σε γύψινους νάρθηκες ή περιπροθετικών καταγμάτων είναι επιπλοκή που μπορεί ίσως να αποφευχθεί, όταν υπάρχει ήπια και σταδιακή κινητοποίηση από το περιβάλλον του πάσχοντος παιδιού.

Αντίστοιχα προβλήματα ελαττωμένης οστικής πυκνότητος παρατηρούνται σε παιδιά με μυική δυστροφία ή μηνιγγοκήλη.

Οστεοπόρωση
Εικόνα Ορθοστάτηση σε ειδικό ηλεκτροκίνητο ορθοστάτη, ασθενούς με μυοπάθεια

Άλλες παθήσεις

Η νεοπλασματική νόσος στα παιδιά επιδεινώνεται με την εμφάνιση γενικευμένης οστεοπόρωσης.

Τα σύνδρομα δυσαπορόφησης στην παιδική ηλικία ( νόσος Crohn ή ελκώδης κολίτιδα), η θυρεοειδοπάθεια, η χορήγηση στεροειδών επηρεάζουν την οστική πυκνότητα.

Η σύγχρονη μάστιγα της νευρογενούς ανορεξίας επηρεάζει την οστική πυκνότητα και είναι δυνατόν να οδηγήσει σε κατάγματα των οστεοπορωτικών οστών.

Η ρευματοειδής αρθρίτιδα δημιουργεί οστεοπόρωση περιοχική στα προσβεβλημένα παιδιά.

Η χρόνια υπεραιμία λόγω της φλεγμονής, οδηγεί σε υποπεριοστική αρχικά οστεοπόρωση που έχει χαρακτηριστική εικόνα στην απεικόνιση στην απλή ακτινογραφία, όταν γίνεται συγκριτικά η απεικόνιση της πάσχουσας με την υγιή άρθρωση.

Η μαγνητική τομογραφία μπορεί να αναδείξει την εικόνα υποχόνδριας γραμμής από την περιοχική οστεοπόρωση.

Μετατραυματική οστεοπόρωση

Η εμφάνιση μετατραυματικής εντοπισμένης οστεοπόρωσης είναι σπάνια αλλά ιδιαίτερα βασανιστική σε παιδιά.

Μετά από ένα απλό τραυματισμό του κάτω ή άνω άκρου, χωρίς να υπάρχει εμφανής εικόνα κατάγματος ή μόνον κάταγμα ενός φλοιού, το μέλος ακινητοποιείται για μικρό χρονικό διάστημα.

Με την αφαίρεση της ακινητοποίησης υπάρχει έντονος πόνος, δυσκαμψία, οίδημα και εφίδρωση της περιοχής. Ο νέος ακτινολογικός έλεγχος πάλι είναι αρνητικός για κάταγμα, το μέλος ακινητοποιείται εκ νέου, αλλά τα συμπτώματα παραμένουν.

Η κατάσταση οδηγεί σε φαύλο κύκλο, εμφανίζοντας το σύνδρομο της περιοχικής συμπαθητικής νευροδυστροφίας.

Το σύνδρομο μπορεί να έχει στοιχεία καυσαλγίας με την συμμετοχή του νευρικού ιστού.

Η ακτινολογική εικόνα δείχνει διάχυτη περιοχική οστεοπόρωση της πάσχουσας περιοχής, ο έλεγχος με την μαγνητική τομογραφία δείχνει εκτεταμένο οστικό οίδημα στα οστά της πάσχουσας περιοχής και το σπινθηρογράφημα είναι θετικό με έντονη πρόσβληψη, δείχνοντας τον αυξημένο οστικό μεταβολισμό της περιοχής.

Η αντιμετώπιση γίνεται με συστηματική κινησιοθεραπεία, υδροθεραπεία, χορήγηση αντιφλεγμονωδών ή και αντιοστεοπορωτικών φαρμάκων, για περιορισμένο χρονικό διάστημα. 

Με την υποχώρηση των έντονων ενοχλήσεων, σταδιακά βελτιώνεται η κινητικότητα και αποκαθίσταται η οστική πυκνότητα.

Η ιδιοπαθής νεανική οστεοπόρωση είναι μια ιδιαίτερα σπάνια, αυτοιώμενη νόσος, που προσβάλλει φυσιολογικά αρχικά παιδιά. Εκδηλώνεται συνήθως σε ηλικίες 8-12 έτη, με πόνο και δυσκαμψία στις προσβεβλημένες περιοχές.

Διαρκεί 2-4 έτη, τα συμπτώματα υποχωρούν με την εμφάνιση της εφηβείας, κάτι που υποδηλώνει την ενδοκρινολογική φύση της πάθησης.

Σε προσβολή της ΣΣ, εκδηλώνεται με οστεοπορωτικά κατάγματα των σπονδύλων που εμφανίζουν καθίζηση. Σε προσβολή του ισχίου, εμφανίζεται έντονη οστεοπόρωση στην πύλεο και στα μηριαία, κύρια στις μεταφύσεις, ενώ η διάφυση των οστών δεν προσβάλλεται.

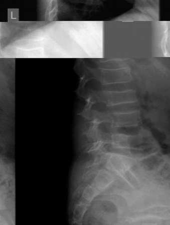
Οστεοπόρωση
Εικόνα Οστεοπόρωση στην ΟΜΣΣ με αμφίκοιλη διαμόρφωση στα οστά

Δεν υπάρχει τυπική εργαστηριακή διαταραχή που να είναι χαρακτηριστική της πάθησης. Αναφέρεται οριακά αυξημένη αλκαλική φωσφατάση και υδροξυπρολίνη στα ούρα.

Εχει αναφερθεί αρνητικό ισοζύγιο ασβεστίου στο πρώτο στάδιο της πάθησης και θετικό στην περίοδο της αποκατάστασης. Δεν υπάρχει αιτιολογική θεραπεία στην πάθηση.

Η ήπια σταδιακή κινητοποίηση των παιδιών, μέσα στα όρια των ενοχλήσεων, βοηθά σημαντικά στην ελάττωση της δυσκαμψίας και στην ελάττωση της οστεοπόρωσης.

Η χορήγηση βιταμίνης D, ασβεστίου και αντι-οστεοκλαστικών φαρμάκων διευκολύνουν την αποκατάσταση, αν και η πάθηση θεωρείται αυτοιώμενη.