Παροδική υμενίτιδα ισχίου

Η παροδική υμενίτιδα ισχίου αποτελεί την συχνότερη αιτία αιφνίδιας επώδυνης χωλότητος της παιδικής ηλικίας ( 3-6 έτη). Συνήθως εμφανίζεται μετά από έντονη δραστηριότητα ή μετά από λοιμώδη προσβολή.

Η πάθηση χαρακτηρίζεται από αιφνίδια συλλογή άσηπτου υγρού στην άρθρωση του ισχίου.

Η κλινική εικόνα είναι η εμφάνιση αιφνίδια έντονου πόνου στο ισχίο, σε παιδί με καλή γενική κατάσταση. Αρνείται να βαδίσει, δεν επιτρέπει την κίνηση της άρθρωσης του ισχίου.

Διάγνωση

Στην κλινική εξέταση από τον Ιατρό, διαπιστώνεται ο περιορισμός της απαγωγής και κυρίως της έσω στροφής του πάσχοντος ισχίου. 

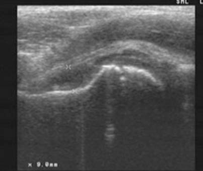
Διάγνωση. Ο υπερηχογραφικός έλεγχος απεικονίζει την ενδαρθρική συλλογή, χωρίς πάχυνση του υμένα, με φυσιολογικό ύψος και ομαλή παρυφή της χόνδρινης κεφαλής.

Θεραπεία είναι η κατάκλιση. Τα συμπτώματα παρέρχονται σε λίγες ημέρες, με πλήρη αποκατάσταση. Χορηγούνται κοινά αναλγητικά.

Παροδική υμενίτιδα ισχίου
Εικόνα ενδαρθρικής συλλογής σε υμενίτιδα ισχίου, στον υπερηχογραφικό έλεγχο.

Συχνές υποτροπές ή παραμονή της χωλότητος πέραν της εβδομάδος, ελέγχεται για αυτοάνοσο νόσημα ή οστεοχονδρίτιδα της μηριαίας κεφαλής.

Στην οξεία φάση διαφορική διάγνωση γίνεται από την σηπτική αρθρίτιδα που έχει έντονα γενικά φαινόμενα, πυρετό, αυξημένους αιματολογικούς δείκτες λοίμωξης.

Ο ρόλος του Ορθοπαιδικού στις φλεγμονές του μυοσκελετικού limoxis oston pediatriko semin9-SEM_2006